TP.HCM chuyển mùa, Bệnh viện đa khoa khu vực Thủ Đức tiếp nhận 4 ca nhồi máu cơ tim cấp trong 1 ngày. Cảnh báo nguy cơ tim mạch tăng do biến động nhiệt độ và độ ẩm
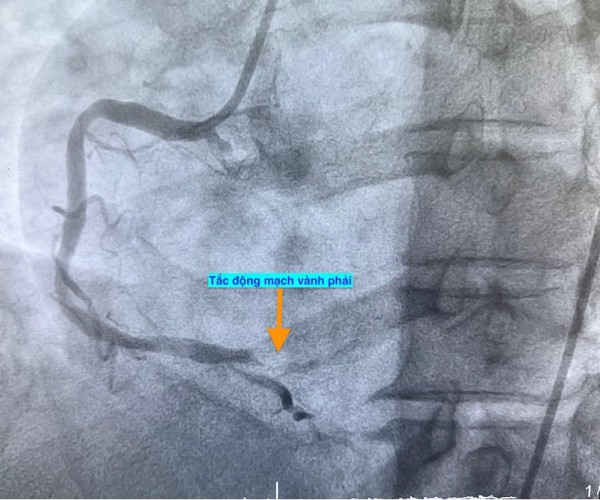
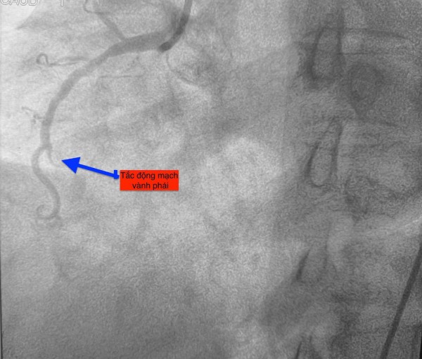
Trường hợp thứ nhất, lúc 0 giờ 34 phút ngày 14.11, nam bệnh nhân 51 tuổi vào bệnh viện vì mệt và khó thở. Chụp mạch vành phát hiện bệnh nhân bị tắc hoàn toàn động mạch vành phải.
Trường hợp thứ hai, lúc 9 giờ 5 phút, nam bệnh nhân 53 tuổi nhập viện vì chóng mặt và nóng rát thượng vị. Điện tâm đồ ghi nhận nhồi máu cơ tim cấp vùng dưới. Kết quả chụp mạch vành xác định bệnh nhân cũng bị tắc động mạch vành phải.
Trường hợp thứ ba, lúc 15 giờ 53 phút, nam bệnh nhân 78 tuổi nhập viện vì đau ngực. Bệnh nhân cho biết đau ngực từng cơn trong 3 ngày, ngày nhập viện thì đau ngực liên tục. Điện tim gợi ý nhồi máu cơ tim cấp; chụp mạch vành cấp cứu phát hiện bệnh nhân cũng tắc động mạch vành phải.
Trường hợp thứ tư, lúc 22 giờ 6 phút, nữ bệnh nhân 61 tuổi nhập viện vì đau ngực, vã mồ hôi; bệnh nhân có đái tháo đường type 2. Điện tim cho thấy nhồi máu cơ tim cấp thành trước.




Hình ảnh chụp mạch vành cho thấy các bệnh nhân bị tắc mạch máu tim (do mảng xơ vữa, huyết khối) dẫn đến tình trạng thiếu máu cục bộ và nhồi máu cơ tim cấp
ẢNH: BV
Bác sĩ Trần Nhân Nghĩa, Khoa Tim mạch can thiệp, Bệnh viện đa khoa khu vực Thủ Đức, cho biết các tháng trước số ca nhồi máu cơ tim cấp cần can thiệp chỉ khoảng 2 ca/tuần. Riêng 2 tuần đầu tháng 11.2025 tăng 8 bệnh nhân. Ngày 14.11 là ngày ghi nhận số ca nhồi máu cơ tim cấp nhiều nhất từ trước đến nay.
Bác sĩ Nghĩa nhận định, việc 1 ngày ghi nhận 4 ca liên tiếp không phải trùng hợp mà phản ánh tác động cộng hưởng của thời tiết và các yếu tố nguy cơ cá nhân (tăng huyết áp, đái tháo đường, hút thuốc, rối loạn lipid máu…).
Giữa tháng 11.2025, TP.HCM có nhiệt độ dao động 23 – 32°C (biên độ 8 – 9°C), độ ẩm cao và mưa rào ngắn – đặc trưng giai đoạn chuyển mùa. Sáng sớm se lạnh, trưa nóng và tối ẩm khiến huyết áp dễ biến động, hệ thần kinh giao cảm hoạt hóa mạnh, làm tăng nguy cơ co thắt mạch vành ở người có bệnh tim mạch nền.
Nhiều nghiên cứu thế giới cho thấy nhiệt độ giảm hoặc biên độ nhiệt tăng là yếu tố kích hoạt nhồi máu cơ tim cấp. Khi nhiệt độ giảm mỗi 1°C, nguy cơ nhồi máu cơ tim tăng 1 – 2% trong 48 giờ.
Ở các quốc gia khí hậu nhiệt đới như Việt Nam, cơ thể quen nền nhiệt ổn định. Dao động 6 – 9°C trong ngày kết hợp độ ẩm và áp suất thay đổi có thể gây rối loạn điều hòa mạch máu, thúc đẩy thiếu máu cơ tim ở người có bệnh mạch vành tiềm ẩn.
Khuyến cáo phòng ngừa nhồi máu cơ tim cấp của bác sĩ tim mạch
Người có bệnh tim mạch nền: giữ ấm buổi sáng, tránh thay đổi nhiệt độ đột ngột, dùng thuốc đúng chỉ định, đo huyết áp thường xuyên, tránh gắng sức khi biên độ nhiệt lớn.
Cộng đồng: nhận biết dấu hiệu cảnh báo (đau ngực, khó thở, vã mồ hôi, buồn nôn, chóng mặt) và đến ngay cơ sở y tế có can thiệp mạch vành liên tục.
Cơ sở y tế: tăng cường trực cấp cứu trong giai đoạn thời tiết dao động mạnh.
Nguồn: thanhnien.vn







