Nam bệnh nhân 65 tuổi, đến Bệnh viện đa khoa Hùng Vương (Phú Thọ) khám hậu COVID-19 do xuất hiện ho có đờm, khó thở về đêm, mệt mỏi, ăn uống kém sau 20 ngày khỏi bệnh.

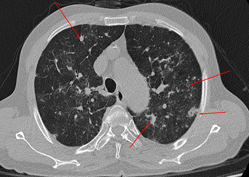
Tại bệnh viện, kết quả chụp CTscaner lồng ngực cho hình ảnh phổi đông đặc, tổn thương lan tỏa hai phổi. Hiện tại, bệnh nhân đang được điều trị tại Khoa Nội.
Theo các bác sĩ, nhiều bệnh nhân mắc COVID-19 có triệu chứng nhẹ, khỏi bệnh nhanh nhưng gặp phải di chứng phổi hậu COVID-19 rất nặng nề như xẹp phổi, xơ hóa phổi, phổi đông đặc…
Do đó, F0 sau khỏi bệnh nếu có các triệu chứng bất thường cần đi khám hậu COVID-19 càng sớm càng tốt để dự phòng các nguy cơ, có phương hướng điều trị phù hợp và kịp thời. Đặc biệt, những người thuộc nhóm đối tượng sau đây cần lưu ý:
Nhóm người có bệnh nền (như tăng huyết áp, mạch vành, đái tháo đường, rối loạn chuyển hoá…).
Nhóm người từ 60 tuổi trở lên bởi đây là nhóm có nguy cơ có nhiều bệnh đồng mắc chưa khởi phát nhưng sau khi mắc COVID-19 có thể thúc đẩy tình trạng nặng hơn.
Nhóm người phải nhập viện khi mắc COVID-19 (bị suy hô hấp, phải can thiệp thở oxy trở lên, sốt cao phải nhập viện…).
Có triệu chứng như ho, tức ngực, khó thở, đau đầu… sau khi khỏi COVID-19
Nguồn: vtv.vn





