Thông tin từ Bệnh viện Nhi đồng Thành phố (TP. Hồ Chí Minh), bệnh viện vừa tiếp nhận trường hợp bệnh nhi 5 tuổi, ở Long An nuốt phải dị vật.

Bệnh nhi được người nhà đưa tới Bệnh viện Nhi đồng Thành phố tối 24/12 vì nghi nuốt đồng xu chơi game.
Trước đó, gia đình bận bịu việc cuối năm, để bệnh nhi chơi với một vài đồng xu game trên sàn. Sau 10 phút, phát hiện bệnh nhi có biểu hiện nôn ói, gia đình tức tốc đưa vào viện cấp cứu.
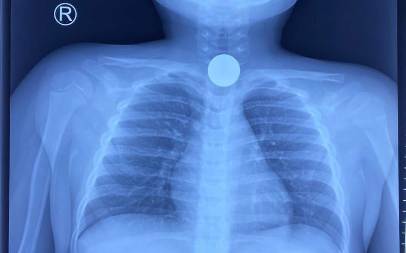
Tại bệnh, các bác sĩ đã cho bệnh nhi chụp X-quang, kết quả trên phim phát hiên có một vật cản âm tròn đều như mô tả đồng xu, mật độ như kim loại.

Dị vật được lấy ra ngoài. Ảnh: BVCC
Do bệnh nhi đã nhịn ăn theo dõi từ trước, các bác sĩ tiến hành nội soi gây mê và gắp kịp thời đồng xu chặn ra khỏi đoạn 1/3 thực quản kịp thời cho bệnh nhi.
Theo các bác sĩ, tai nạn ngộ độc nói chung và nuốt dị vật ở trẻ em nói riêng hết sức phổ biến. Nguy hiểm hơn là hình thức ngộ độc hóa chất, gây bỏng chít hẹp đường thở, đường tiêu hoá…
Do đó, gia đình có con nhỏ cần quan sát, theo dõi các hoạt động của trẻ. Trong nhà không nên để các vật sắc nhọn, hóa chất… trong tầm tay của trẻ.
Nguồn: vtv.vn
Bước 1: Truy cập vào trang https://pccovid.gov.vn hoặc trực tiếp tải về tại App Store hay CH Play.
Bước 2:Khi ứng dụng đã được tải về và cài đặt thành công, bạn hãy truy cập vào ứng dụng trên điện thoại.
Bước 3:Tiếp theo, màn hình giới thiệu sẽ hiện lên và hiển thị toàn bộ thông tin về các đơn vị chủ trì, vận hành và phát triển. Sau khi xem xong, bạn chọn Tiếp tục.
Bước 4: Tại mục thông tin, bạn hãy điền số điện thoại để đăng ký hoặc đăng nhập vào ứng dụng. Sau đó, bạn hãy đọc điều khoản sử dụng và chọn vào ô xác nhận khi đã đọc xong Tiếp tục.
Sau khi đã đăng nhập thành công vào ứng dụng, Bạn sẽ thấy các thông tin cơ bản của mình hiện lên như họ tên, giới tính, năm sinh, thông tin tiêm vaccine, xét nghiệm Covid-19. Nếu không thấy những dữ liệu này, bạn bấm vào nút đồng bộ trạng thái để cập nhật và hiển thị thông tin của mình.





