Monday, February 2, 2026

Cắt u nấm phổi phức tạp cho bệnh nhân trẻ tuổi

VTV.vn – Bệnh nhân nam, 31 tuổi, tiền sử lao phổi và đã điều trị cách đây 2 năm.

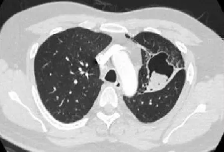
Gần đây, bệnh nhân thường xuyên ho ra máu nhiều nên đến khám tại một bệnh viện trên địa bàn TP. Hồ Chí Minh. Tại đây, bệnh nhân được chẩn đoán u nấm phổi bên trái trên nền lao phổi cũ.

Sau khi tìm hiểu về bệnh lý của bản thân, bệnh nhân đến Bệnh viện Đa khoa Xuyên Á TP. Hồ Chí Minh để điều trị.

Dựa trên các kết quả lâm sàng tại các cơ sở y tế nơi bệnh nhân đến khám trước đó, các bác sĩ nhận định đây là trường hợp u nấm phổi ở thùy trên phổi trái, lựa chọn cắt thùy phổi là cần thiết để điều trị triệt để ho ra máu.

Bệnh nhân được tiến hành phẫu thuật cắt bỏ thùy trên phổi trái kèm theo hang nấm. Trong quá trình mổ, ekip các bác sĩ nhận thấy thùy trên phổi trái có u cạnh rốn phổi dính vào thùy dưới khá phức tạp nên đã tiến hành gỡ dính u với thành ngực và động mạch chủ. Ca phẫu thuật diễn ra thành công sau 3 giờ.

Sau phẫu thuật, sức khỏe bệnh nhân ổn định, phổi 2 bên nở, thông khí tốt, bệnh nhân hoàn toàn hết ho ra máu. Bệnh nhân được xuất viện sau 2 tuần hậu phẫu.

Theo BSCKI. Hồ Huỳnh Anh Hùng – Khoa Phẫu thuật Tim mạch – Lồng ngực, u nấm phổi là dạng phổ biến nhất của tổn thương do lao phổi. U nấm phổi được tìm thấy trong những hang lao phổi có từ trước. Triệu chứng phổ biến nhất của u nấm phổi là ho ra máu. Ho ra máu có thể từ mức độ nhẹ đến rất nặng, ảnh hưởng đến tính mạng của bệnh nhân.

Do đó, khi có biểu hiện ho ra máu người bệnh cần đến ngay cơ sở y tế để được thăm khám, đánh giá chẩn đoán để tìm ra nguyên nhân và có chiến lược điều trị phù hợp nhằm mang lại kết quả tốt nhất.

Nguồn: vtv.vn

PHIM ĐẶC SẮC
TIN MỚI NHẬN
TIN LIÊN QUAN