Saturday, April 11, 2026

Đặt ECMO cứu bệnh nhân bị ngộ độc do uống 43 viên thuốc huyết áp



Nam bệnh nhân 29 tuổi, được đưa vào bệnh viện cấp cứu trong tình trạng mệt mỏi, choáng váng sau khi uống 43 viên thuốc huyết áp – Amlodipine 5mg.

Đặt ECMO cứu bệnh nhân bị ngộ độc do uống 43 viên thuốc huyết áp

 

Tại Khoa Cấp cứu, Bệnh viện đa khoa tỉnh Phú Thọ, bệnh nhân được chỉ định đặt ống nội khí quản, thở máy, dùng các thuốc vận mạch duy trì huyết áp và điều trị theo phác đồ ngộ độc thuốc Amlodipin.

Tuy nhiên, bệnh nhân diễn biến rất nặng, huyết áp tụt sâu phải duy trì vận mạch liều cao, tổn thương phổi nặng. Bệnh nhân được chuyển Khoa Hồi sức tích cực – Chống độc điều trị trong tình trạng hôn mê, thở máy qua ống nội khí quản, huyết áp phụ thuộc vận mạch liều cao, tổn thương phổi nặng.

Mặc dù bệnh nhân đã được điều trị tối ưu, lọc máu liên tục, tuy nhiên, tình trạng oxy hóa máu chưa cải thiện được nhiều, SpO2 chỉ đạt tối đa 68% kèm theo huyết áp tụt sâu. Đứng trước tình huống đó, bệnh nhân đã được hội chẩn toàn khoa đưa ra chỉ định dùng kỹ thuật tim phổi nhân tạo (ECMO) để điều trị hỗ trợ tim phổi cho bệnh nhân.

Đặt ECMO cứu bệnh nhân bị ngộ độc do uống 43 viên thuốc huyết áp

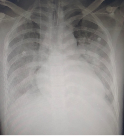
Hình ảnh tổn thương phổi của bệnh nhân. Ảnh: BVCC

 

Sau khi đặt ECMO, bệnh nhân tiếp tục được duy trì an thần, thở máy, lọc máu liên tục, kháng sinh, điều chỉnh tình trạng rối loạn toan kiềm, cân bằng nước điện giải, điều chỉnh tình trạng suy sụp tuần hoàn do ngộ độc thuốc chẹn kênh calci. 

Sau 3 ngày, tình trạng oxy hóa của bệnh nhân dần cải thiện, đã dừng được thuốc vận mạch, tình trạng suy đa tạng dần cải thiện.

Sau 7 ngày điều trị, bệnh nhân có nhiều chuyển biến tích cực, được hội chẩn và quyết định tiến hành cai ECMO, dừng lọc máu liên tục tiếp tục duy trì thở máy, kháng sinh, điều chỉnh toan kiềm, dinh dưỡng.

Sau 10 ngày, bệnh nhân được tiến hành cai thở máy, tiếp tục điều trị hỗ trợ phục hồi chức năng hô hấp. Tình trạng lâm sàng của bệnh nhân tiến triển tốt và dự kiến ra viện trong một vài ngày tới.

 

 

 

PHIM ĐẶC SẮC
TIN MỚI NHẬN
TIN LIÊN QUAN