Khoa Phẫu thuật Tiêu hóa – Gan mật tụy, Bệnh viện Bạch Mai vừa phẫu thuật thành công 2 trường hợp GIST dạ dày phát triển thành u ác tính, có kích thước lớn.

Trường hợp thứ nhất là nam bệnh nhân 47 tuổi, tiền sử viêm dạ dày nhiều năm, điều trị không thường xuyên.
Khoảng 6 tháng gần đây, bệnh nhân thấy đau tức vùng thượng vị, hay đầy bụng, ăn uống kém hơn. Bệnh nhân tự mua thuốc điều trị viêm dạ dày nhưng không đỡ, đến khi tự sờ thấy khối ở vùng thượng vị mới quyết định đi khám.
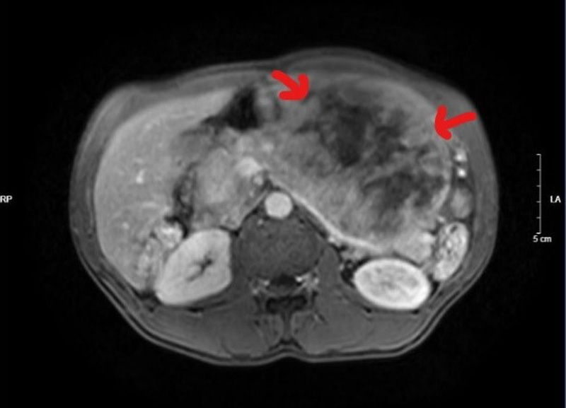
Tại Khoa Phẫu thuật Tiêu hóa – Gan mật tụy, Bệnh viện Bạch Mai, bệnh nhân được chẩn đoán: GIST dạ dày, tuy nhiên khối u lớn, ở giai đoạn muộn nên đã xâm lấn vào thân đuôi tụy.
Bệnh nhân đã phải trải qua một cuộc phẫu thuật cắt cả khối u gồm toàn bộ dạ dày, thân đuôi tụy và lách. Tuy ca mổ diễn ra thành công ngoài mong đợi nhưng chặng đường tiếp theo với bệnh nhân sẽ nhiều khó khăn, nguy cơ bệnh dễ tái phát hoặc di căn.
Trường hợp thứ 2 là nam bệnh nhân 62 tuổi, có tiền sử viêm dạ dày hơn 10 năm điều trị không thường xuyên.
Khoảng 4 năm nay, bệnh nhân thấy đau tức thượng vị âm ỉ, nghĩ mình vẫn bị viêm dạ dày nên bệnh nhân tự ra hiệu thuốc để mua thuốc về uống. Sau khi sử dụng thuốc, triệu chứng có chút thuyên giảm, nhưng không khỏi.
Sau đó 1 năm, thấy bụng to lên nhưng nghĩ rằng béo bụng do tích mỡ, bệnh nhân ăn ít hơn để giảm béo, cân nặng không tăng nhưng bụng vẫn to dần. Cho đến 3 tháng gần đây, ăn vào có cảm giác đầy bụng, khó chịu, sờ bụng có khối cứng kể cả lúc đói nên bệnh nhân đã quyết định đi khám tại một bệnh viện tư ở thành phố Sơn La.

Khối u nặng gần 5kg của bệnh nhân. Ảnh: BVCC
Tại đây, bệnh nhân được chẩn đoán u ruột non và được chuyển đến Bệnh viện đa khoa tỉnh Sơn La để điều trị tiếp. Bệnh nhân được đánh giá là trường hợp bệnh phức tạp nên đã được chuyển đến Bệnh viện Bạch Mai.
Các bác sĩ chẩn đoán bệnh nhân mắc bệnh GIST dạ dày và được chỉ định phẫu thuật tại Khoa Phẫu thuật Tiêu hóa – Gan mật tụy.
Sau 3 tiếng tập trung cao độ, ê-kíp phẫu thuật đã cắt được khối u khổng lồ đường kính hơn 30cm, nặng 5kg cùng gần như toàn bộ dạ dày của bệnh nhân mà không làm tổn thương đến các tạng xung quanh.
Theo các bác sĩ, không giống như những trường hợp ung thư dạ dày khác, dù phát hiện sớm cũng là ung thư, GIST dạ dày (hay GIST đường tiêu hóa nói chung) ở giai đoạn sớm đa phần là lành tính. GIST thường gặp ở người trẻ tuổi và ở dạ dày nhưng một số ít trường hợp u có thể ở ruột hoặc thực quản.
Người bệnh có thể biểu hiện triệu chứng như đau bụng, xuất huyết tiêu hóa, nhưng cũng có thể không có triệu chứng và được phát hiện tình cờ khi khám sức khỏe. Tiên lượng bệnh GIST dạ dày có nguy cơ tăng dần theo kích thước khối u. U nhỏ dưới 2cm có nguy cơ thấp, u kích thước từ 2 – 5cm có nguy cơ trung bình và u kích thước trên 5cm có nguy cơ tiến triển ác tính cao.
Khi nào cần sàng lọc ung thư đường tiêu hóa?
Cần đi khám ngay nếu xuất hiện các biểu hiện bất thường như: Chán ăn, đầy bụng, sụt cân không rõ nguyên nhân, đại tiện phân nhỏ dẹt, phân máu, táo bón hoặc tiêu chảy …
Tầm soát ung thư đường tiêu hóa (dạ dày, đại trực tràng) định kỳ ở các cơ sở y tế uy tín, ngay cả khi cơ thể không xuất hiện các dấu hiệu nói trên. Đặc biệt, lưu ý là những người thuộc nhóm có nguy cơ cao như:
– Người trên 45 tuổi.
– Cá nhân hoặc người thân trong gia đình có tiền sử bệnh lý liên quan đến đường ruột, polyp đại trực tràng, ung thư đại trực tràng, ung thư dạ dày…
– Người thường xuyên bị táo bón, đại tiện ra máu không rõ nguyên nhân;
– Người có lối sống ăn uống không lành mạnh, thường xuyên hút thuốc lá, uống rượu bia…
– Người có các bệnh liên quan đến tổn thương đường tiêu hóa: Viêm teo niêm mạc dạ dày, viêm loét đại trực tràng, bệnh Crohn…
Nguồn: vtv.vn





