Bệnh viện Phổi Nghệ An vừa điều trị khỏi cho một bệnh nhân bị áp xe phổi/tràn khí màng phổi nặng sau khi âm tính với COVID-19 được 20 ngày.

Theo thông tin từ Bệnh viện Phổi Nghệ An, bệnh nhân H.Đ.K. (74 tuổi, trú tại Hội Sơn, Anh Sơn, Nghệ An), tiền sử từng điều trị lao phổi 1 lần năm 2021 đủ thời gian và đã tiêm 3 mũi vaccine phòng COVID-19. Bệnh nhân nhập viện trong tình trạng ho khạc đờm mủ vàng đặc, hôi; sốt cao rét run; đau tức ngực và khó thở.
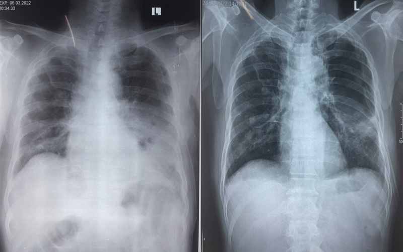
Sau khi thăm khám, chụp X-quang ngực kết hợp chụp cắt lớp vi tính và làm các xét nghiệm chuyên sâu, BSCKI. Nguyễn Hồng Hải – Trưởng Khoa Nội 2 nhận định bệnh nhân bị áp xe phổi.
Sau 2 ngày điều trị nội khoa, bệnh nhân xuất hiện thêm tình trạng tràn khí màng phổi. Các y bác sĩ đã nhanh chóng mở màng phổi dẫn lưu khí cho người bệnh.

Bác sĩ thăm khám cho bệnh nhân. Ảnh: BVCC
Sau gần 1 tháng điều trị tích cực, bệnh nhân đã tiến triển tốt dần lên từng ngày, các triệu chứng của bệnh đã hết, người bệnh ăn ngủ, đi lại tốt, các chỉ số cận lâm sàng đã cải thiện rất tốt và trở lại chỉ số bình thường.
Theo BSCKI. Nguyễn Hồng Hải, nhiều khả năng bệnh nhân này sau khi bị COVID-19 đã bị tắc các mạch máu nhỏ trong phổi dẫn đến hoại tử mô phổi tạo ổ áp xe. Bệnh nhân khi ho khạc gắng sức để tống đờm ra ngoài làm ổ áp xe vỡ ra và gây tràn khí màng phổi.
Từ đầu năm đến nay, Bệnh viện Phổi Nghệ An đã và đang điều trị cho hàng trăm bệnh nhân sau khi mắc COVID-19. Do đó, những trường hợp lớn tuổi, có bệnh nền, từng phải nhập viện điều trị khi đang mắc COVID-19, sau khi khỏi bệnh cần phải đi khám sớm. Những trường hợp khác sau khi khỏi COVID-19 khoảng 1 đến 3 tháng hoặc khi có các biểu hiện như mệt mỏi, ho nhiều, khó thở… người bệnh nên đến cơ sở y tế khám để kiểm tra sức khỏe.
Nguồn: vtv.vn





