Saturday, April 18, 2026

Nhiều học sinh bị chấn thương sọ não rất nặng do tai nạn giao thông



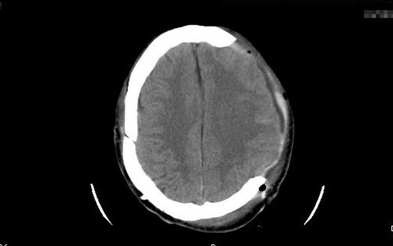
Theo thông tin từ Khoa Hồi Sức cấp cứu, Bệnh viện Nhi Thanh Hóa, chỉ trong 3 ngày gần đây, nhiều bệnh nhi nhập viện trong tình trạng nguy kịch do bị chấn thương sọ não.

Nhiều học sinh bị chấn thương sọ não rất nặng do tai nạn giao thông

 

Bệnh nhi T.Đ., (10 tuổi, trú tại Như Thanh, Thanh Hóa) đang điều khiển xe đạp trong quá trình đi học về nhà không may bị xe tải va vào.

Sau tai nạn, bệnh nhi hôn mê bất tỉnh, chảy máu tai trái, sưng nề vùng đầu, bàn chân trái. Bệnh nhi nhập viện trong tình trạng rất nặng với đa chấn thương, chấn thương sọ não (vỡ xương sọ, dập não) và có nhiều vết thương phần mềm trên cơ thể.

Một trường hợp khác là bệnh nhi 14 tuổi (nam, trú tại Thọ Xuân, Thanh Hóa) khi đang điều khiển xe máy, bệnh nhi không may va chạm với xe ô tô tải (không ai chứng kiến). Sau tai nạn, bệnh nhi kích thích, la hét nhiều, chảy máu mũi 2 bên, vùng đỉnh đầu sưng nề bầm tím.

Bệnh nhi nhanh chóng được đưa vào bệnh viện huyện cấp cứu và chuyển đến Bệnh viện Nhi Thanh Hóa ngay sau đó với tổn thương nội sọ.

Nhiều học sinh bị chấn thương sọ não rất nặng do tai nạn giao thông

Tất cả bệnh nhi đều được hỗ trợ hô hấp, kiểm soát đường thở, kiểm soát huyết áp,chống phù não tích cực, cầm máu, chống nhiễm trùng và bổ sung dinh dưỡng. Tuy các bệnh nhi đã được điều trị hồi sức tích cực và phẫu thuật cấp cứu nhưng tình trạng vẫn còn rất nặng, ý thức hôn mê và yêu cầu chăm sóc điều trị tích cực.

Theo các bác sĩ, phần lớn các trẻ nhập viện trong tình trạng rất nặng, ý thức hôn mê hoặc kích thích khó đánh giá ý thức và không có người chứng kiến tai nạn, không biết cơ chế chấn thương gây khó khăn việc đánh giá đầy đủ các tổn thương từ lúc ban đầu.

Chấn thương sọ não với đa dạng hình thái với nhiều mức độ, từ tụ máu dưới da đầu đến nặng hơn như là các tổn thương ở xương sọ như nứt xương, lún xương sọ hay vết thương sọ não. Nghiêm trọng hơn là các tổn thương chảy máu trong nội sọ phức tạp gây phù não và chèn ép vào các khu vực quan trọng của cơ thể gây tử vong tức thì.

 

 

 

Hãy cài đặt PC-Covid, 1 ứng dụng duy nhất sử dụng trong giai đoạn bình thường mới, thuận tiện hơn trong việc khai báo và di chuyển. Để cài đặt ứng dụng này trên điện thoại, cần thực hiện theo các bước sau:

Bước 1: Truy cập vào trang https://pccovid.gov.vn hoặc trực tiếp tải về tại App Store hay CH Play.

Bước 2:Khi ứng dụng đã được tải về và cài đặt thành công, bạn hãy truy cập vào ứng dụng trên điện thoại.

Bước 3:Tiếp theo, màn hình giới thiệu sẽ hiện lên và hiển thị toàn bộ thông tin về các đơn vị chủ trì, vận hành và phát triển. Sau khi xem xong, bạn chọn Tiếp tục.
Bước 4: Tại mục thông tin, bạn hãy điền số điện thoại để đăng ký hoặc đăng nhập vào ứng dụng. Sau đó, bạn hãy đọc điều khoản sử dụng và chọn vào ô xác nhận khi đã đọc xong Tiếp tục.
Sau khi đã đăng nhập thành công vào ứng dụng, Bạn sẽ thấy các thông tin cơ bản của mình hiện lên như họ tên, giới tính, năm sinh, thông tin tiêm vaccine, xét nghiệm Covid-19. Nếu không thấy những dữ liệu này, bạn bấm vào nút đồng bộ trạng thái để cập nhật và hiển thị thông tin của mình.



PHIM ĐẶC SẮC
TIN MỚI NHẬN
TIN LIÊN QUAN