Tuesday, April 21, 2026

Sửa điện tại nhà, người đàn ông bị điện giật ngã đập đầu xuống đất gây tụ máu màng cứng



Liên tiếp chỉ trong vài ngày, Trung tâm Cấp cứu 115 – Hệ thống Y tế Hùng Vương (Phú Thọ) liên tục tiếp nhận nhiều ca cấp cứu do điện giật.

Sửa điện tại nhà, người đàn ông bị điện giật ngã đập đầu xuống đất gây tụ máu màng cứng

 

Gần đây nhất là vào khoảng 15h30 ngày 21/3, Trung tâm Cấp cứu 115, Phòng khám đa khoa Hùng Vương Sơn Dương tiếp nhận nam bệnh nhân X. (trú tại Tuyên Quang) bị điện giật.

Trước đó, trong quá trình sửa điện tại nhà, bệnh nhân không may bị điện giật, ngã ngửa đập đầu xuống đất, bất tỉnh khoảng 5 phút, gia đình nhanh chóng đưa bệnh nhân tới phòng khám.

Tại đây, tiếp xúc ban đầu bệnh nhân lơ mơ, đau đầu nhiều, lộ vết thương vùng thái dương kích thước 0,5 x 2,5 cm có chảy máu, kèm đau tức ngực trái.

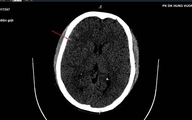
Bệnh nhân nhanh chóng được sơ cứu vết thương, xử trí cấp cứu giảm đau, tiêm phòng SAT, đưa bệnh nhân đi thực hiện chụp cắt lớp vi tính, chụp X-quang, siêu âm và thực hiện các cận lâm sàng khác.

Kết quả chụp phát hiện tụ máu ngoài màng cứng vùng dương trái kèm xuất huyết dưới nhện rải rác vài rãnh cuộn não thùy thái dương và đỉnh phải, vỡ xương thái dương và xương đỉnh trái…

Ngay sau đó, bệnh nhân và gia đình được các bác sĩ tư vấn, hoàn tất thủ tục chuyển về bệnh viện điều trị.

Hiện tại, tình trạng bệnh nhân đã ổn định hơn và được điều trị, theo dõi tại Khoa Hồi sức tích cực Bệnh viện đa khoa Hùng Vương.

Qua trường hợp bệnh nhân trên, các bác sĩ cảnh báo: Người dân cần hết sức lưu ý khi làm việc, tiếp xúc với mạng lưới điện hoặc di chuyển tại các khu vực có điện lưới trong mùa mưa bão, đặc biệt những nơi có trạm điện, đường điện cao thế.

Những việc cần làm khi gặp người bị điện giật:

– Nạn nhân bị điện giật sẽ mang dòng điện trong người, nên chúng ta không nên chạm trực tiếp vào người nạn nhân, tìm cách ngắt kết nối nguồn điện càng sớm càng tốt.

Nếu đường dây điện có thể là điện áp cao, không được cố giải phóng bệnh nhân ra khỏi đường dây điện mà chờ cho đến khi điện được tắt.

– Ngoài ra, sử dụng vật dụng bằng gỗ như gậy hay cành cây bằng gỗ để đẩy hay gỡ nạn nhân ra xa khỏi vật dụng mang điện, nếu bạn chắc chắn là dòng điện nạn nhân tiếp xúc là điện hạ thế, còn nếu không chắc chắn về dòng điện hạ thế hay trung thế, cao thế, thì ngay lập tức hãy gọi cấp cứu 115 và chờ để được giúp đỡ.

– Có một tình huống khá nguy hiểm là trong bán kính dẫn điện từ nơi đang có điện trung thế chạm mặt đất cỡ 8m, và nếu trong điều kiện ẩm ướt như trời mưa hoặc cỏ bị ướt, thì khu vực mang điện này sẽ lớn và nguy hiểm hơn vì mức độ dẫn điện sẽ lan tỏa ra rộng đến tầm 20m.

– Nếu xảy ra tai nạn bị điện giật ở nhà, thì bạn có thể sử dụng gậy bằng gỗ thật khô, ví dụ như cán chổi, (tuyệt đối không sử dụng gỗ đang ẩm ướt vì tính dẫn điện của nó cao hơn dẫn đến nguy hiểm tính mạng người ứng cứu), hoặc là một chân ghế có bọc nhựa cách điện.

– Gọi ngay cấp cứu và gọi người hỗ trợ gần nhất.

 

 

 

PHIM ĐẶC SẮC
TIN MỚI NHẬN
TIN LIÊN QUAN